Nouveauté ! Formation en e-learning : Gestion du profil d’émergence en implantologie
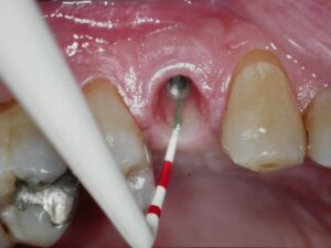
EvolYou crée LA formation en ligne conçue pour upgrader vos poses d’implants ! C’est l’occasion rêvée de peaufiner votre formation initiale sans impacter votre consultation au cabinet dentaire : 6 heures de formation dédiées à l’optimisation de vos techniques chirurgicales. À travers des cas cliniques détaillés, des tutoriels et de précieux conseils, profitez de l’expertise du Dr.…










